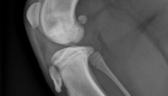
This week's case is a 9-month-old male neutered Boxer with trouble rising. Test your musculoskeletal interpretation skills by adding to the comments. … [Read more...]
9 month old Labrador Retriever
This week's case is a 9-month-old female neutered Labrador Retriever with 2-month history of left thoracic limb lameness and 2-day history of left pelvic limb lameness. How many lesions can you find? … [Read more...]
2 year old German Shepherd
Today's case is a 2-year-old female neutered German Shepherd mix with a 5-week history of intermittent left thoracic limb lameness that worsens with exercise. Take a look and post your interpretation! … [Read more...]
9 month old male Rhodesian Ridgeback
Today's case is a 9-month-old male Rhodesian Ridgeback who has been lame on the left pelvic limb for three weeks. Take a look and post your interpretation. … [Read more...]
9 month old Border Collie
Today we have a 9-month-old male neutered Border Collie with intermittent lameness with exercise on the right thoracic limb for the last 4 months. What are your findings? … [Read more...]





Recent Comments