• Home
  • About
  • Articles
  • Books
  • Contact

Veterinary Radiology

Teaching and learning about veterinary diagnostic imaging.

  • Modality
    • Radiographs
    • Ultrasound
    • CT/MRI
  • Region
    • Thorax
    • Abdomen
    • Musculoskeletal
    • Neurologic
  • Species
    • Canine
    • Feline
    • Equine
    • Exotic

7 year old DSH cat

June 15, 2015 By Allison Zwingenberger

Today’s case is a 7 year old domestic shorthair cat with chronic cough.

R LAT Thorax
L LAT Thorax
DV Thorax

FE Thorax Helical FE Thorax Helical FE Thorax Helical FE Thorax Helical FE Thorax Helical FE Thorax Helical FE Thorax Helical case18_16_base case18_1_base case18_2_base case18_3_base case18_4_base case18_5_base case18_6_base case18_7_base case18_8_base case18_9_base

Show findings...

Findings

On thoracic radiographs, here is collapse of the right middle lung lobe with evidence of the lobar sign on this lateral projection. In addition there are interstitial to alveolar infiltrates in the ventral thorax worse on the right side. The cardiovascular structures appear within normal limits. The trachea is diffusely small in size and the wall appears thickened. There is a diffuse bronchial pattern.

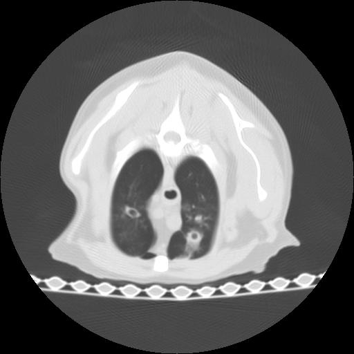
The CT images show that there is severe thickening of the lobar bronchi to the cranial lobes, and also of the proximal portions of the mainstem bronchi. The right cranial lobar bronchus is bronchiectatic, and a large intraluminal soft tissue occlusion is identified peripherally. Multiple other peripheral airways reveal intraluminal soft tissue accumulation. The right middle lobe is collapsed. There are multifocal patchy areas of interstitial and peribronchial infiltrates throughout all lung lobes, but most severe within the caudal lobes.

Show diagnosis…

Diagnosis

Chronic inflammatory disease with bronchiectasis

Show discussion…

Discussion

Bronchoscopy showed moderate to severe tracheal erosions just distal to the larynx. There was extremely thickened mucosa throughout the entire trachea with a redundant tracheal membrane. Grade 1/4 tracheal collapse was seen throughout its length. Marked mucus accumulation was seen in the mid region of the trachea with a slight stenosis at ~ the level of the thoracic inlet. Bronchoscopy also revealed severe blunting at the carina. Many airways could not be entered because of mucus plugging or stenosis, and bronchiectasis could not be directly visualized.

BAL of 2 sites revealed increased cellularity (1700-1800 cells) with increased numbers/percentages of neutrophils (5-15%). Mild previous hemorrhage was noted and the BAL sample revealed no bacteria on cytology. Because the larger airways appeared to be more severely affected than the bronchoalveolar compartment, a sample of tracheobronchial mucus was submitted for cytology, which contained large numbers of neutrophils, with many lysed cells and streams of DNA. Many neutrophils contained short rods to coccobacilli. BAL cultures for aerobic, anaerobic, and Mycoplasma species were negative.

The bronchiectasis indicates that the airway disease is chronic and irreversible, and will probably predispose the cat to recurrent pneumonia. Treatment plans include nebulization and antibiotics as needed.

 

Case originally posted on December 27, 2007

Filed Under: Case of the Day, CT/MRI, Feline, Radiographs, Thorax

Comments

  1. Charlierak says

    June 15, 2015 at 10:25 pm

    On lateral view, the tracheal lumen is narrowed at the thoracic inlet. There is a stripe sign dorsal to tne trachea which is normal. The pleural fissure is visible between the left caudal semgment of the cranial lung lobe and the left caudal lung lobe without pleural effusion. Ill-defined soft tissue opacity obscuring the aortic arch is consistent with alveolar lung pattern at cranioventral lung lobe with lobar sign on left lateral view. The multiple doughnut signs are visible on the caudodorsal vetntral lung field with interstitial lung patter. The whole cardiac silhouette lies down above the sternum which is a normal senile change. Distented large intestine with feces in the cranio-dorsal abdomen are visible. The rest of the thoracic structures including pulmonary vessels, medaistinum, pleural space and diaphragm seems normal.

    On the CT images, the right main stem bronchus dilated in periphery in comparison with the opposite side. The conccurent alveolar pattern in X-ray is also confirmed around the heart.

    Findings

    Narrowed Tracheal Lumen, Untapered main stem bronchus with diffuse mixed lung patterns.

    DDX – Feline asthma or Chronic bronchitis with bronchiectasis.
    Lung pattern – secondary pneumonia, non-cardiogenic edema less likely.

    BAL or TTW should be done to identify infectious agent.

    • Charlierak says

      June 15, 2015 at 10:30 pm

      Lovely case I can check out all the lung patterns with many signs.

      Question, how one can know the right middle lung lobar sign is collapsed or cosolidated? As I see, there is no mediastianl shift, Is it because of slight inflation of the caudal lung margin toward middle lung lobe on the left lateral projection?

  • Bloglovin
  • Facebook
  • RSS
  • Twitter
AtlasCover787x1024 amazon-availablenow

Veterinary Radiology News

Sign up for alerts about new cases and newsletters.

We will respect your privacy.

Archives

Tags

abscess adenocarcinoma bronchiectasis carcinoma cardiomyopathy coccidioidomycosis discospondylitis elbow dysplasia eosinophilic bronchopneumopathy erosive polyarthritis feline infectious peritonitis FIP foreign body fracture gastric dilation gastric foreign body gastrointestinal GDV heart failure hemangiosarcoma hiatal hernia histiocytic sarcoma hypertrophic cardiomyopathy intestinal foreign body linear foreign body lymphoma megaesophagus osteochondrosis osteomyelitis osteosarcoma patent ductus arteriosus PDA pericardial effusion pneumonia pneumothorax polyarthritis PPDH pulmonary pulmonary abscess pulmonary adenocarcinoma pulmonary carcinoma sarcoma thymoma tracheal collapse vascular ring anomaly

Copyright © 2026 · Metro Pro Theme On Genesis Framework · WordPress · Log in