• Home
  • About
  • Articles
  • Books
  • Contact

Veterinary Radiology

Teaching and learning about veterinary diagnostic imaging.

  • Modality
    • Radiographs
    • Ultrasound
    • CT/MRI
  • Region
    • Thorax
    • Abdomen
    • Musculoskeletal
    • Neurologic
  • Species
    • Canine
    • Feline
    • Equine
    • Exotic

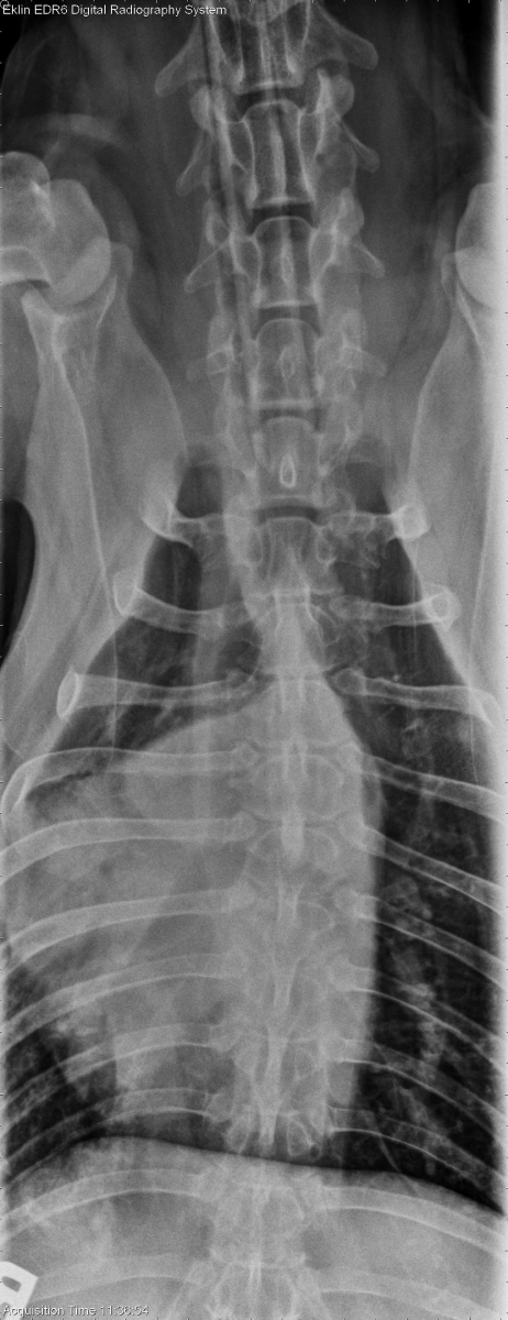
11 year old Labrador Retriever

January 4, 2016 By Allison Zwingenberger

The first case of 2016 is an 11-year-old male neutered Labrador Retriever. One week of progressive weakness and difficulty using the left pelvic limb. Take a look at the images and post your comments!

VD Spine
VD Spine
VD Spine
VD Spine
VD Spine
R LAT Spine
R LAT Spine
R LAT Spine
R LAT Spine
R LAT Spine

Show findings...

Findings

There are multiple sites of spondylosis deformans including T9-10, T13-L1, and the lumbosacral junction. There is sclerosis and irregularity of multiple caudal thoracic and lumbar vertebral articular facets. There is sclerosis and an irregular cranial and caudal contour of the dorsal spinous process of T4. There is beginning lysis of the T2, T3 & T5 dorsal spinous processes.

Show differential diagnosis…

Differential Diagnosis

Lysis of spinous processes from T2 -T5; soft tissue neoplasia with secondary bone lysis is a primary consideration.

Show diagnosis…

Diagnosis

Soft tissue sarcoma invading the dorsal spinous processes bilaterally and spinal canal on the left side at T4.

MRI
Ultrasound

Filed Under: Canine, Case of the Day, CT/MRI, Musculoskeletal, Radiographs, Ultrasound

Comments

  1. Dr RAHUL DANGI says

    January 9, 2016 at 4:51 am

    spondylitis at T9, T10 , T12 ,T13 and lumbosacral junction. some signs of sclerosis are also seen.

  • Bloglovin
  • Facebook
  • RSS
  • Twitter
AtlasCover787x1024 amazon-availablenow

Veterinary Radiology News

Sign up for alerts about new cases and newsletters.

We will respect your privacy.

Archives

Tags

abscess adenocarcinoma bronchiectasis carcinoma cardiomyopathy coccidioidomycosis discospondylitis elbow dysplasia eosinophilic bronchopneumopathy erosive polyarthritis feline infectious peritonitis FIP foreign body fracture gastric dilation gastric foreign body gastrointestinal GDV heart failure hemangiosarcoma hiatal hernia histiocytic sarcoma hypertrophic cardiomyopathy intestinal foreign body linear foreign body lymphoma megaesophagus osteochondrosis osteomyelitis osteosarcoma patent ductus arteriosus PDA pericardial effusion pneumonia pneumothorax polyarthritis PPDH pulmonary pulmonary abscess pulmonary adenocarcinoma pulmonary carcinoma sarcoma thymoma tracheal collapse vascular ring anomaly

Copyright © 2026 · Metro Pro Theme On Genesis Framework · WordPress · Log in