• Home
  • About
  • Articles
  • Books
  • Contact

Veterinary Radiology

Teaching and learning about veterinary diagnostic imaging.

  • Modality
    • Radiographs
    • Ultrasound
    • CT/MRI
  • Region
    • Thorax
    • Abdomen
    • Musculoskeletal
    • Neurologic
  • Species
    • Canine
    • Feline
    • Equine
    • Exotic

13 year old DSH

October 5, 2015 By Allison Zwingenberger

Today’s case is a 13-year-old female neutered domestic short haired cat with history of hematuria.

1_lat_full
2_vd_full
3_L_kidney_full
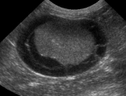
4_R_kidney_us_full

Show findings...

Findings

The right kidney is markedly enlarged, with a rounded shape. It is distorting the abdominal wall on the v/d projection and displacing the ascending and transverse colon medially and ventrally. The left kidney also has an abnormal shape, with reduced length and increased width.

There is also spondylosis deformans at the L5-6 intervertebral disc space, which is an incidental finding.

On ultrasound images, both kidneys were surrounded by large cystic structures filled with echogenic fluid. There are fine septae visible in the pseudocyst surrounding the left kidney. Drainage of both collections of fluid were clear and colorless except for the last 15 ml from the right kidney, which was hemorrhagic. Both kidneys were small and irregular with poor corticomedullary distinction.

Show differential diagnosis…

Differential Diagnosis

  • Perinephric pseudocysts
  • Hydronephrosis
  • Chronic renal disease
  • Subcapsular hematoma
  • Lymphosarcoma

Show diagnosis…

Diagnosis

Bilateral perinephric pseudocysts and chronic renal disease.

Show discussion…

Discussion

Perinephric pseudocysts are associated with chronic renal disease, but are often asymptomatic. The association between the pseudocysts and this cat’s hematuria is unclear. The hematuria may have been due to pressure from the pseudocysts, or idiopathic in nature.

Show references…

References

  1. Ochoa VB, DiBartola SP, Chew DJ, et al. Perinephric pseudocysts in the cat: a retrospective study and review of the literature. Journal of Veterinary Internal Medicine. 1999;13:47-55.
Case originally posted on March 2, 2007

Filed Under: Abdomen, Case of the Day, Feline, Radiographs, Ultrasound

Comments

  1. TorontoVet says

    March 12, 2007 at 7:56 pm

    There is severe rt renomegaly. The L kidney also appears more plump/round than normal.
    DDx for renomegaly include neoplasia, hydronephrosis, and pyelonephritis. Pyelo would NOT cause such severe enlargment. I think it’s either of the two first ddx.

    Clifford

  2. Allison Zwingenberger says

    March 13, 2007 at 4:37 pm

    Yes, it is severe renomegaly, and unlikely to be caused solely by pyelonephritis. I agree that the left kidney is abnormal in shape as well, though it doesn’t appear enlarged in length. Check the MIRC site for the answer.

  • Bloglovin
  • Facebook
  • RSS
  • Twitter
AtlasCover787x1024 amazon-availablenow

Veterinary Radiology News

Sign up for alerts about new cases and newsletters.

We will respect your privacy.

Archives

Tags

abscess adenocarcinoma bronchiectasis carcinoma cardiomyopathy coccidioidomycosis discospondylitis elbow dysplasia eosinophilic bronchopneumopathy erosive polyarthritis feline infectious peritonitis FIP foreign body fracture gastric dilation gastric foreign body gastrointestinal GDV heart failure hemangiosarcoma hiatal hernia histiocytic sarcoma hypertrophic cardiomyopathy intestinal foreign body linear foreign body lymphoma megaesophagus osteochondrosis osteomyelitis osteosarcoma patent ductus arteriosus PDA pericardial effusion pneumonia pneumothorax polyarthritis PPDH pulmonary pulmonary abscess pulmonary adenocarcinoma pulmonary carcinoma sarcoma thymoma tracheal collapse vascular ring anomaly

Copyright © 2026 · Metro Pro Theme On Genesis Framework · WordPress · Log in