• Home
  • About
  • Articles
  • Books
  • Contact

Veterinary Radiology

Teaching and learning about veterinary diagnostic imaging.

  • Modality
    • Radiographs
    • Ultrasound
    • CT/MRI
  • Region
    • Thorax
    • Abdomen
    • Musculoskeletal
    • Neurologic
  • Species
    • Canine
    • Feline
    • Equine
    • Exotic

9 year old Rottweiler

September 28, 2015 By Allison Zwingenberger

Today’s case is a 9 year old male neutered Rottweiler with lameness for 1 month.

376632_9yr-K9-MC-X-ROTT_0
376632_9yr-K9-MC-X-ROTT_1
376632_9yr-K9-MC-X-ROTT_3
376632_9yr-K9-MC-X-ROTT_4

Show findings...

Findings

There is an aggressive bone lesion in the proximal right humerus. There is lysis in the medullary cavity, with a long zone of transition. There is periosteal reaction along the cortices which extends into the soft tissues.
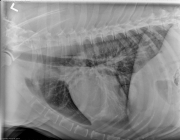
There is also an opacity in the right hemithorax which is adjacent to the right body wall. It is seen best on the d/v and left lateral projections. A second opacity is visible overlying the caudal lungs on this projection, and is not visible on the v/d.

Show differential diagnosis…

Differential Diagnosis

Humerus – osteosarcoma, fungal osteomyelitis, metastatic disease
Thorax – pulmonary nodules, rib lesion

Show diagnosis…

Diagnosis

Osteosarcoma with metastatis to rib

Show discussion…

Discussion

The thoracic nodule was difficult to localize on the standard projections. Visibility of an extrapleural sign depends on catching it perpendicular to the x-ray beam. Centering over the lesion and collimating can help, as can rotating the dog to either side.
The humeral lesion is distal to the metaphysis, where most osteosarcomas originate. This raises the possibility of it being a metastatic lesion from another site, or a fungal lesion. The biopsy proved osteosarcoma in this case.

376632_9yr-K9-MC-X-ROTT_5

This radiograph was taken centered over the pulmonary lesion. It shows the rib has lytic and expansile components, and that the rib mass is protruding into the thorax. This is most likely metastatic disease from the osteosarcoma. It is a very nice example of an extrapleural sign, where the mass has a broad base and extends to the pleural surface.

Filed Under: Canine, Case of the Day, Radiographs, Thorax

  • Bloglovin
  • Facebook
  • RSS
  • Twitter
AtlasCover787x1024 amazon-availablenow

Veterinary Radiology News

Sign up for alerts about new cases and newsletters.

We will respect your privacy.

Archives

Tags

abscess adenocarcinoma bronchiectasis carcinoma cardiomyopathy coccidioidomycosis discospondylitis elbow dysplasia eosinophilic bronchopneumopathy erosive polyarthritis feline infectious peritonitis FIP foreign body fracture gastric dilation gastric foreign body gastrointestinal GDV heart failure hemangiosarcoma hiatal hernia histiocytic sarcoma hypertrophic cardiomyopathy intestinal foreign body linear foreign body lymphoma megaesophagus osteochondrosis osteomyelitis osteosarcoma patent ductus arteriosus PDA pericardial effusion pneumonia pneumothorax polyarthritis PPDH pulmonary pulmonary abscess pulmonary adenocarcinoma pulmonary carcinoma sarcoma thymoma tracheal collapse vascular ring anomaly

Copyright © 2026 · Metro Pro Theme On Genesis Framework · WordPress · Log in