• Home
  • About
  • Articles
  • Books
  • Contact

Veterinary Radiology

Teaching and learning about veterinary diagnostic imaging.

  • Modality
    • Radiographs
    • Ultrasound
    • CT/MRI
  • Region
    • Thorax
    • Abdomen
    • Musculoskeletal
    • Neurologic
  • Species
    • Canine
    • Feline
    • Equine
    • Exotic

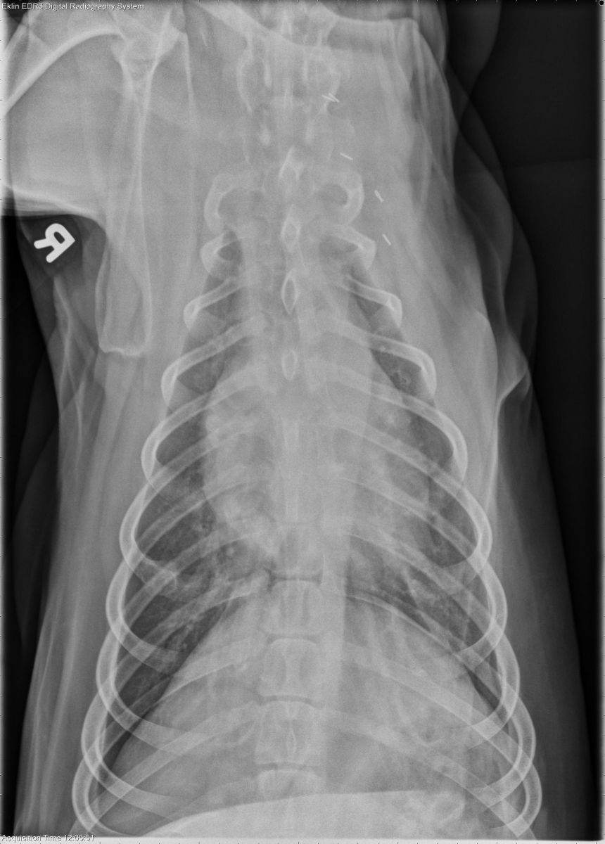
6 year old Spaniel

July 9, 2015 By Allison Zwingenberger

Today’s case is a 6 year old male Spaniel with previous amputation performed for left thoracic limb osteosarcoma. What are your findings?

R LAT Thorax
L LAT Thorax
DV Thorax
DV Thorax
DV Thorax
R LAT Thorax

Show findings...

Findings

The left thoracic limb is absent, and there are metallic staples in the soft tissues consistent with previous amputation. The cardiovascular structures are normal in size and shape. No abnormalities are seen in the pulmonary parenchyma, pleural space, or mediastinum. The first sternebra is radiolucent and irregular in appearance with subtle periosteal reaction. On the dorsoventral projection, there is expansion and lysis of the right 6th rib. These findings are confirmed on collimated projections. There is osteophyte production surrounding the right shoulder joint.

Show diagnosis…

Diagnosis

Osteosarcoma metastasis to the right 6th rib and first sternebra.

Filed Under: Canine, Case of the Day, Musculoskeletal, Radiographs

  • Bloglovin
  • Facebook
  • RSS
  • Twitter
AtlasCover787x1024 amazon-availablenow

Veterinary Radiology News

Sign up for alerts about new cases and newsletters.

We will respect your privacy.

Archives

Tags

abscess adenocarcinoma bronchiectasis carcinoma cardiomyopathy coccidioidomycosis discospondylitis elbow dysplasia eosinophilic bronchopneumopathy erosive polyarthritis feline infectious peritonitis FIP foreign body fracture gastric dilation gastric foreign body gastrointestinal GDV heart failure hemangiosarcoma hiatal hernia histiocytic sarcoma hypertrophic cardiomyopathy intestinal foreign body linear foreign body lymphoma megaesophagus osteochondrosis osteomyelitis osteosarcoma patent ductus arteriosus PDA pericardial effusion pneumonia pneumothorax polyarthritis PPDH pulmonary pulmonary abscess pulmonary adenocarcinoma pulmonary carcinoma sarcoma thymoma tracheal collapse vascular ring anomaly

Copyright © 2026 · Metro Pro Theme On Genesis Framework · WordPress · Log in