• Home
  • About
  • Articles
  • Books
  • Contact

Veterinary Radiology

Teaching and learning about veterinary diagnostic imaging.

  • Modality
    • Radiographs
    • Ultrasound
    • CT/MRI
  • Region
    • Thorax
    • Abdomen
    • Musculoskeletal
    • Neurologic
  • Species
    • Canine
    • Feline
    • Equine
    • Exotic

1 year old DSH

November 14, 2019 By Allison Zwingenberger

This week’s case is a 1-year-old male neutered Domestic Shorthair with respiratory distress and PCV of 10%. What are your differential diagnoses?

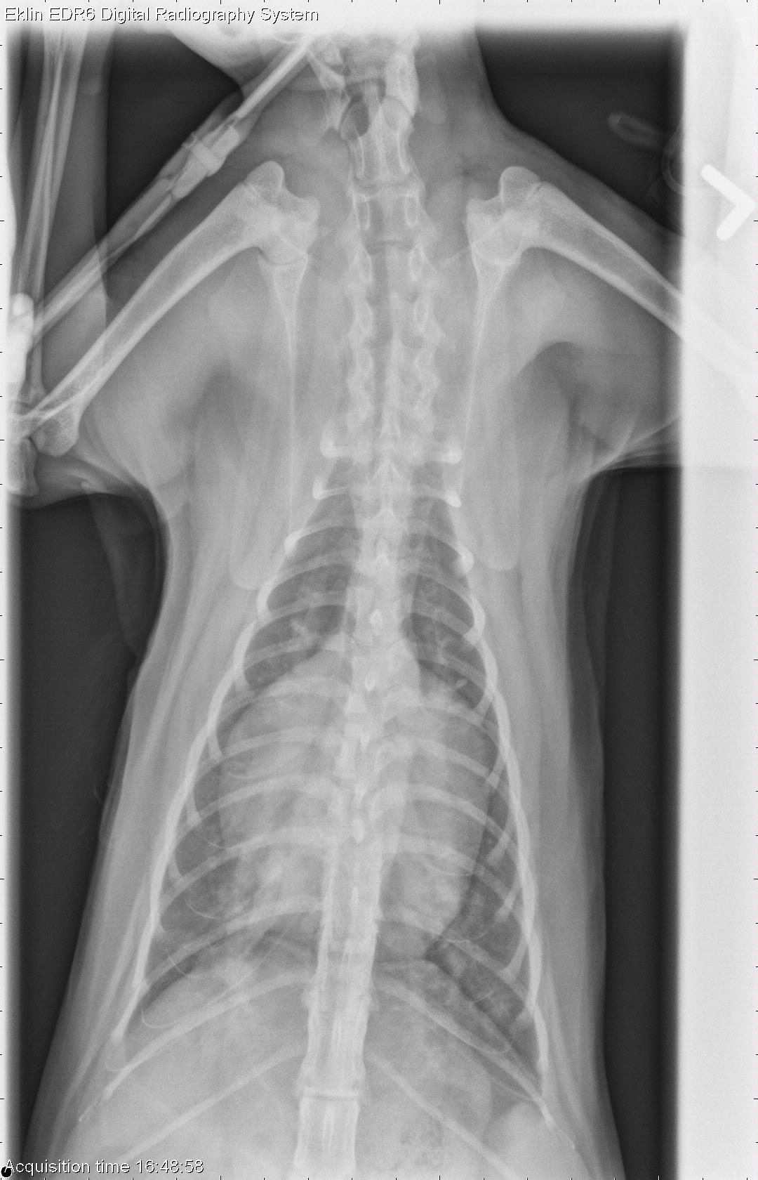
R LAT Thorax
DV Thorax
Show findings...

Findings

The cardiac silhouette is markedly enlarged and rounded. The pulmonary vasculature is enlarged and there is a bronchointerstitial pattern in the caudal lung lobes. The remainder of the thoracic structures appear normal.
Show differential diagnosis…

Differential Diagnosis

  • Cardiomegaly (dilated cardiomyopathy, volume distension)
  • Pulmonary edema secondary to heart failure

Show diagnosis…

Diagnosis

Cardiac dilation secondary to increased cardiac volume with high volume heart failure. Possible early DCM. Myelofibrosis was found as the reason for the severe anemia and pancytopenia.

Filed Under: Case of the Day, Feline, Radiographs, Thorax

  • Bloglovin
  • Facebook
  • RSS
  • Twitter
AtlasCover787x1024 amazon-availablenow

Veterinary Radiology News

Sign up for alerts about new cases and newsletters.

We will respect your privacy.

Archives

Recent Comments

Tags

abscess adenocarcinoma bronchiectasis carcinoma cardiomyopathy coccidioidomycosis discospondylitis elbow dysplasia eosinophilic bronchopneumopathy erosive polyarthritis feline infectious peritonitis FIP foreign body fracture gastric dilation gastric foreign body gastrointestinal GDV heart failure hemangiosarcoma hiatal hernia histiocytic sarcoma hypertrophic cardiomyopathy intestinal foreign body linear foreign body lymphoma megaesophagus osteochondrosis osteomyelitis osteosarcoma patent ductus arteriosus PDA pericardial effusion pneumonia pneumothorax polyarthritis PPDH pulmonary pulmonary abscess pulmonary adenocarcinoma pulmonary carcinoma sarcoma thymoma tracheal collapse vascular ring anomaly

Copyright © 2025 · Metro Pro Theme On Genesis Framework · WordPress · Log in