• Home
  • About
  • Articles
  • Books
  • Contact

Veterinary Radiology

Teaching and learning about veterinary diagnostic imaging.

  • Modality
    • Radiographs
    • Ultrasound
    • CT/MRI
  • Region
    • Thorax
    • Abdomen
    • Musculoskeletal
    • Neurologic
  • Species
    • Canine
    • Feline
    • Equine
    • Exotic

11 year old Cocker Spaniel

October 15, 2020 By Allison Zwingenberger

This week’s case is an 11-year-old male neutered Cocker Spaniel with bleeding tendencies. What are your findings?

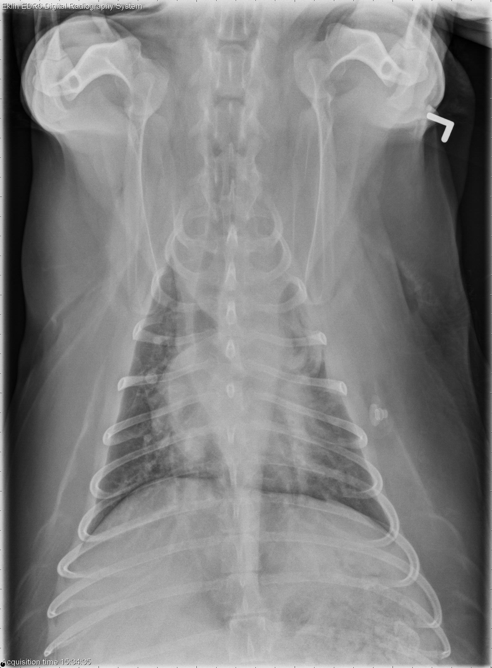
R LAT Thorax
DV Thorax
VD Thorax
Show findings...

Findings

There is a patchy, diffuse interstitial to alveolar pattern throughout the lungs. There is a more focal alveolar pattern in the left cranial lung lobe which does not completely resolve between the dorsoventral and ventrodorsal projections. The cranial mediastinum appears widened. The heart is mildly enlarged, and the pulmonary vasculature is enlarged with some vessels tapering abruptly.
Show differential diagnosis…

Differential Diagnosis

  • Diffuse pulmonary changes -ARDS, pulmonary thromboembolism, hemorrhage, embolic infectious pneumonia
  • Cardiomegaly – valvular disease, endocarditis
  • Cranial mediastinum – fat, hemorrhage, mass
Show diagnosis…

Diagnosis

IMHA and ITP with secondary microvascular thrombosis and acute sepsis, resulting in embolic pneumonia and early ARDS.

Filed Under: Canine, Case of the Day, Radiographs, Thorax

  • Bloglovin
  • Facebook
  • RSS
  • Twitter
AtlasCover787x1024 amazon-availablenow

Veterinary Radiology News

Sign up for alerts about new cases and newsletters.

We will respect your privacy.

Archives

Tags

abscess adenocarcinoma bronchiectasis carcinoma cardiomyopathy coccidioidomycosis discospondylitis elbow dysplasia eosinophilic bronchopneumopathy erosive polyarthritis feline infectious peritonitis FIP foreign body fracture gastric dilation gastric foreign body gastrointestinal GDV heart failure hemangiosarcoma hiatal hernia histiocytic sarcoma hypertrophic cardiomyopathy intestinal foreign body linear foreign body lymphoma megaesophagus osteochondrosis osteomyelitis osteosarcoma patent ductus arteriosus PDA pericardial effusion pneumonia pneumothorax polyarthritis PPDH pulmonary pulmonary abscess pulmonary adenocarcinoma pulmonary carcinoma sarcoma thymoma tracheal collapse vascular ring anomaly

Copyright © 2026 · Metro Pro Theme On Genesis Framework · WordPress · Log in