• Home
  • About
  • Articles
  • Books
  • Contact

Veterinary Radiology

Teaching and learning about veterinary diagnostic imaging.

  • Modality
    • Radiographs
    • Ultrasound
    • CT/MRI
  • Region
    • Thorax
    • Abdomen
    • Musculoskeletal
    • Neurologic
  • Species
    • Canine
    • Feline
    • Equine
    • Exotic

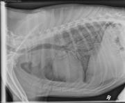
7 year old mixed breed dog

June 3, 2021 By Allison Zwingenberger

This week’s case is a 7-year-old male neutered mixed breed dog with lethargy, fever, lameness, and cutaneous lesions. How would you characterize this pattern?

R LAT Thorax
DV Thorax
VD Thorax
L LAT Thorax
Show findings...

Findings

There is a diffuse micronodular interstitial pattern throughout the lungs. The trachea is dorsally deviated on the lateral projections, and there is increased soft tissue within the mediastinum. There is increased opacity in the region of the hilus with lateral deviation of the mainstem bronchi on the left lateral and ventrodorsal projections. Thin pleural fissure lines are visible.
Show differential diagnosis…

Differential Diagnosis

The most likely differential diagnosis for nodular interstitial pulmonary pattern and thoracic lymphadenopathy is fungal pneumonia. Neoplasia and other inflammatory disease is less likely. Airway and lymph node sampling could be considered for cytology and culture.
Show diagnosis…

Diagnosis

  • Blastomycosis was identified from smears of the skin lesions
  • Previously moved from Iowa to California

Filed Under: Canine, Case of the Day, Radiographs, Thorax

  • Bloglovin
  • Facebook
  • RSS
  • Twitter
AtlasCover787x1024 amazon-availablenow

Veterinary Radiology News

Sign up for alerts about new cases and newsletters.

We will respect your privacy.

Archives

Tags

abscess adenocarcinoma bronchiectasis carcinoma cardiomyopathy coccidioidomycosis discospondylitis elbow dysplasia eosinophilic bronchopneumopathy erosive polyarthritis feline infectious peritonitis FIP foreign body fracture gastric dilation gastric foreign body gastrointestinal GDV heart failure hemangiosarcoma hiatal hernia histiocytic sarcoma hypertrophic cardiomyopathy intestinal foreign body linear foreign body lymphoma megaesophagus osteochondrosis osteomyelitis osteosarcoma patent ductus arteriosus PDA pericardial effusion pneumonia pneumothorax polyarthritis PPDH pulmonary pulmonary abscess pulmonary adenocarcinoma pulmonary carcinoma sarcoma thymoma tracheal collapse vascular ring anomaly

Copyright © 2026 · Metro Pro Theme On Genesis Framework · WordPress · Log in