• Home
  • About
  • Articles
  • Books
  • Contact

Veterinary Radiology

Teaching and learning about veterinary diagnostic imaging.

  • Modality
    • Radiographs
    • Ultrasound
    • CT/MRI
  • Region
    • Thorax
    • Abdomen
    • Musculoskeletal
    • Neurologic
  • Species
    • Canine
    • Feline
    • Equine
    • Exotic

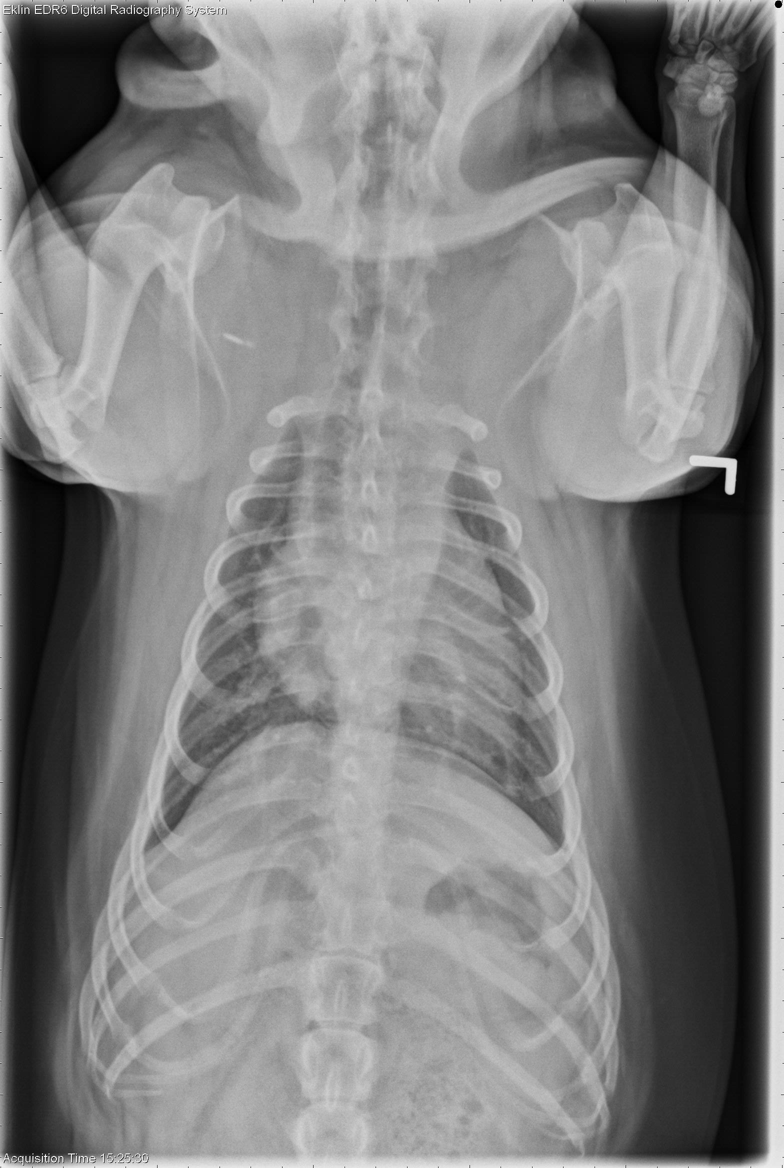
2 year old French Bulldog

October 1, 2020 By Allison Zwingenberger

This week’s case is a 2-year-old male neutered French bulldog with central nervous system signs. These radiographs were taken prior to anesthesia.

R LAT Thorax
L LAT Thorax
DV Thorax
Show findings...

Findings

The cardiovascular structures are normal in size and shape. The airways are patent. There is a broad-based soft tissue and gas opacity at the level of the diaphragm on the left lateral projection. The pleura and mediastinum are normal. Hemivertebrae are present in the thoracic spine, consistent with breed.
Show differential diagnosis…

Differential Diagnosis

The intermittent soft tissue opacity in the region of the esophagus is most consistent with a sliding hiatal hernia, seen commonly in brachycephalic breeds.
Show diagnosis…

Diagnosis

  • Sliding hiatal hernia (incidental, unlikely related to clinical signs)
  • Inflammatory brain disease diagnosed on MRI

Filed Under: Canine, Case of the Day, Radiographs, Thorax

  • Bloglovin
  • Facebook
  • RSS
  • Twitter
AtlasCover787x1024 amazon-availablenow

Veterinary Radiology News

Sign up for alerts about new cases and newsletters.

We will respect your privacy.

Archives

Tags

abscess adenocarcinoma bronchiectasis carcinoma cardiomyopathy coccidioidomycosis discospondylitis elbow dysplasia eosinophilic bronchopneumopathy erosive polyarthritis feline infectious peritonitis FIP foreign body fracture gastric dilation gastric foreign body gastrointestinal GDV heart failure hemangiosarcoma hiatal hernia histiocytic sarcoma hypertrophic cardiomyopathy intestinal foreign body linear foreign body lymphoma megaesophagus osteochondrosis osteomyelitis osteosarcoma patent ductus arteriosus PDA pericardial effusion pneumonia pneumothorax polyarthritis PPDH pulmonary pulmonary abscess pulmonary adenocarcinoma pulmonary carcinoma sarcoma thymoma tracheal collapse vascular ring anomaly

Copyright © 2026 · Metro Pro Theme On Genesis Framework · WordPress · Log in