• Home
  • About
  • Articles
  • Books
  • Contact

Veterinary Radiology

Teaching and learning about veterinary diagnostic imaging.

  • Modality
    • Radiographs
    • Ultrasound
    • CT/MRI
  • Region
    • Thorax
    • Abdomen
    • Musculoskeletal
    • Neurologic
  • Species
    • Canine
    • Feline
    • Equine
    • Exotic

10 year old Siamese

December 31, 2020 By Allison Zwingenberger

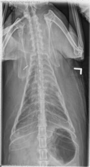
These radiographs are of a 9-year-old cat with labored breathing and panting. What are your differential diagnoses?

R LAT Thorax
DV Thorax
VD Thorax
Show findings...

Findings

There is increased soft tissue opacity within the thorax, with retraction of the lung lobes and evidence of fissure lines. A few small gas bubbles are visible in the pleural space, secondary to thoracocentesis. The cardiac silhouette is obscured on the dorsoventral projection, but appears normal in size on the ventrodorsal projection. There is increased opacity and decreased volume of the left cranial lung lobe. A pulmonary nodule is also evident overlying the left side of the cardiac silhouette. Ill-defined nodules are present in the right caudal lung lobe.
Show differential diagnosis…

Differential Diagnosis

  • Pulmonary mass (primary pulmonary neoplasia, granuloma)
  • Possible metastatic disease or diffuse granulomatous disease
  • Secondary pleural effusion and atelectasis

Show diagnosis…

Diagnosis

  • Adenocarcinoma with intrapulmonary metastasis
  • Chronic proliferative pleuritis and pleural fibrosis and atelectasis, secondary to pleural effusion

Filed Under: Case of the Day, Feline, Radiographs, Thorax

  • Bloglovin
  • Facebook
  • RSS
  • Twitter
AtlasCover787x1024 amazon-availablenow

Veterinary Radiology News

Sign up for alerts about new cases and newsletters.

We will respect your privacy.

Archives

Recent Comments

Tags

abscess adenocarcinoma bronchiectasis carcinoma cardiomyopathy coccidioidomycosis discospondylitis elbow dysplasia eosinophilic bronchopneumopathy erosive polyarthritis feline infectious peritonitis FIP foreign body fracture gastric dilation gastric foreign body gastrointestinal GDV heart failure hemangiosarcoma hiatal hernia histiocytic sarcoma hypertrophic cardiomyopathy intestinal foreign body linear foreign body lymphoma megaesophagus osteochondrosis osteomyelitis osteosarcoma patent ductus arteriosus PDA pericardial effusion pneumonia pneumothorax polyarthritis PPDH pulmonary pulmonary abscess pulmonary adenocarcinoma pulmonary carcinoma sarcoma thymoma tracheal collapse vascular ring anomaly

Copyright © 2026 · Metro Pro Theme On Genesis Framework · WordPress · Log in