• Home
  • About
  • Articles
  • Books
  • Contact

Veterinary Radiology

Teaching and learning about veterinary diagnostic imaging.

  • Modality
    • Radiographs
    • Ultrasound
    • CT/MRI
  • Region
    • Thorax
    • Abdomen
    • Musculoskeletal
    • Neurologic
  • Species
    • Canine
    • Feline
    • Equine
    • Exotic

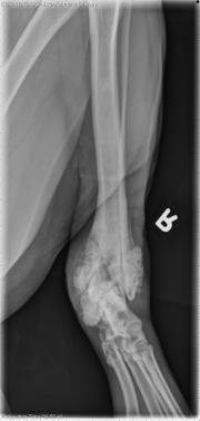
2 year old Golden Retriever

September 26, 2019 By Allison Zwingenberger

This week’s case is a 2-year-old male neutered Golden Retriever with previous palliative radiation therapy for osteosarcoma. Describe your findings.

R LAT Hind
R AP Hind
R LAT Thorax
L LAT Thorax
VD Thorax
Show findings...

Findings

Left pelvic limb: There is profuse, irregular new bone formation and destruction of the distal tibia and fibula. There is new bone production cranial to the tarsus as well as caudal to the tarsus. There is a short, oblique, radiolucent line traversing the distal metaphysis and epiphysis of the tibia. Smooth periosteal reaction extends to the mid-diaphysis of the tibia with medullary sclerosis.
Thorax: The cardiovascular structures are normal in size and shape. There is a small, opaque nodule superimposed over the second ribs on the left lateral projection and the right lateral projection. An ill-defined nodule is superimposed over the diaphragm on the right lateral projection. The remainder of the pulmonary parenchyma appears normal. There is increased soft tissue opacity dorsal to the second sternebra.
Show diagnosis…

Diagnosis

  • Pathologic fracture of the distal tibial osteosarcoma
  • The dense appearance of the tumor is likely secondary to radiation therapy
  • Pulmonary metastatic disease
  • Sternal lymphadenopathy may be reactive or metastatic.

Filed Under: Canine, Case of the Day, Musculoskeletal, Radiographs, Thorax

  • Bloglovin
  • Facebook
  • RSS
  • Twitter
AtlasCover787x1024 amazon-availablenow

Veterinary Radiology News

Sign up for alerts about new cases and newsletters.

We will respect your privacy.

Archives

Tags

abscess adenocarcinoma bronchiectasis carcinoma cardiomyopathy coccidioidomycosis discospondylitis elbow dysplasia eosinophilic bronchopneumopathy erosive polyarthritis feline infectious peritonitis FIP foreign body fracture gastric dilation gastric foreign body gastrointestinal GDV heart failure hemangiosarcoma hiatal hernia histiocytic sarcoma hypertrophic cardiomyopathy intestinal foreign body linear foreign body lymphoma megaesophagus osteochondrosis osteomyelitis osteosarcoma patent ductus arteriosus PDA pericardial effusion pneumonia pneumothorax polyarthritis PPDH pulmonary pulmonary abscess pulmonary adenocarcinoma pulmonary carcinoma sarcoma thymoma tracheal collapse vascular ring anomaly

Copyright © 2026 · Metro Pro Theme On Genesis Framework · WordPress · Log in