• Home
  • About
  • Articles
  • Books
  • Contact

Veterinary Radiology

Teaching and learning about veterinary diagnostic imaging.

  • Modality
    • Radiographs
    • Ultrasound
    • CT/MRI
  • Region
    • Thorax
    • Abdomen
    • Musculoskeletal
    • Neurologic
  • Species
    • Canine
    • Feline
    • Equine
    • Exotic

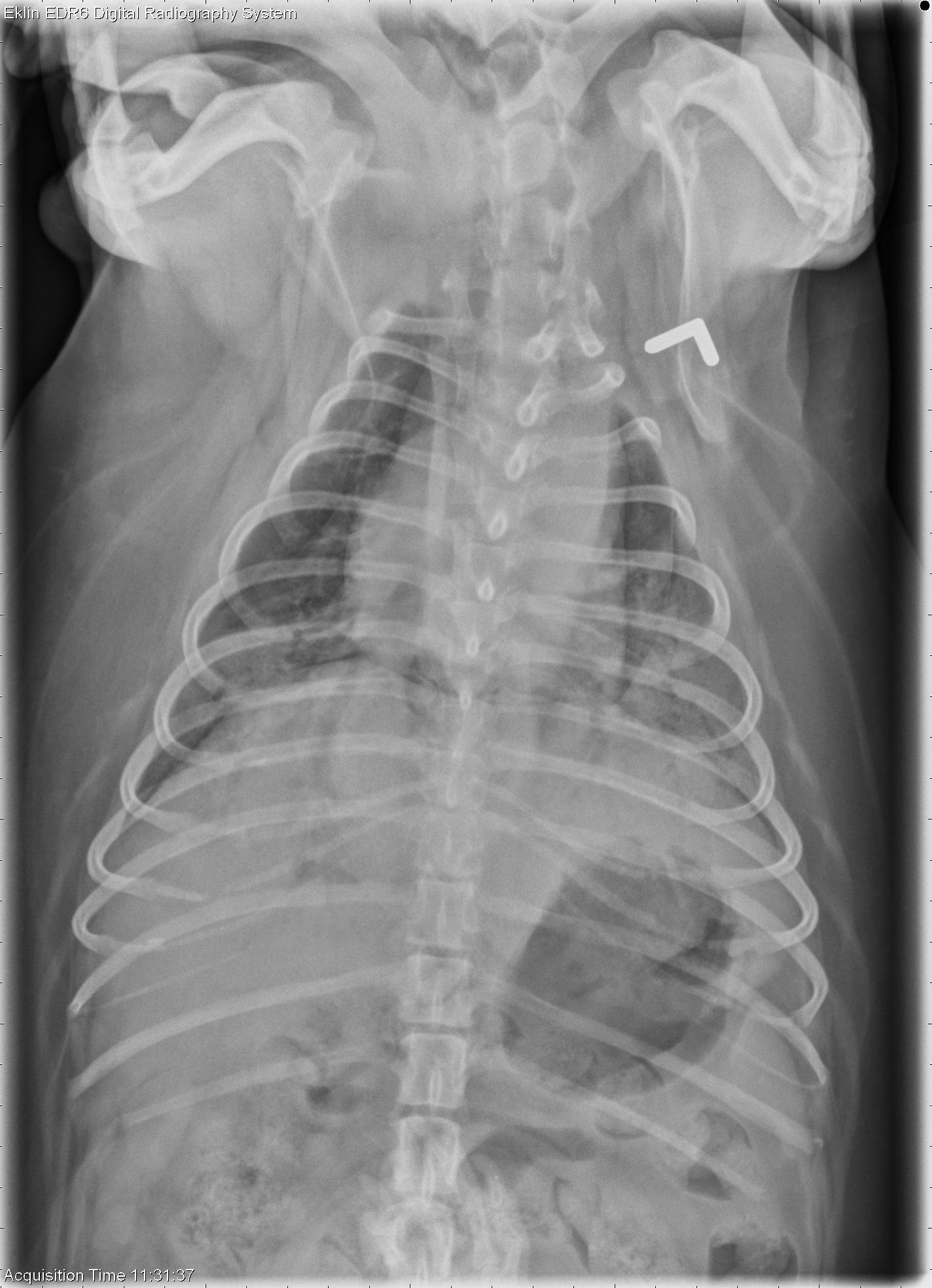
8 year old Pug

January 9, 2020 By Allison Zwingenberger

This week’s case is an 8-year-old female neutered Pug with pancreatitis. Developed increased respiratory rate and crackles while hospitalized.

R LAT Thorax
L LAT Thorax
DV Thorax
Show findings...

Findings

The cardiac silhouette is normal in size and shape. The pulmonary vasculature is normal. There is a moderate interstitial to alveolar pulmonary pattern in the left and right caudal lung lobes, causing increased soft tissue opacity and faint air bronchograms. The pleura and mediastinum are normal. No abnormalities are seen in the musculoskeletal structures.
Show differential diagnosis…

Differential Diagnosis

The most likely diagnosis for the pulmonary pattern is non-cardiogenic pulmonary edema (ARDS) secondary to pancreatitis.
Show diagnosis…

Diagnosis

Histopathology of the lungs showed diffuse alveolar capillary hemorrhage and fibrin deposition consistent with ARDS.

Filed Under: Canine, Case of the Day, Radiographs, Thorax

  • Bloglovin
  • Facebook
  • RSS
  • Twitter
AtlasCover787x1024 amazon-availablenow

Veterinary Radiology News

Sign up for alerts about new cases and newsletters.

We will respect your privacy.

Archives

Tags

abscess adenocarcinoma bronchiectasis carcinoma cardiomyopathy coccidioidomycosis discospondylitis elbow dysplasia eosinophilic bronchopneumopathy erosive polyarthritis feline infectious peritonitis FIP foreign body fracture gastric dilation gastric foreign body gastrointestinal GDV heart failure hemangiosarcoma hiatal hernia histiocytic sarcoma hypertrophic cardiomyopathy intestinal foreign body linear foreign body lymphoma megaesophagus osteochondrosis osteomyelitis osteosarcoma patent ductus arteriosus PDA pericardial effusion pneumonia pneumothorax polyarthritis PPDH pulmonary pulmonary abscess pulmonary adenocarcinoma pulmonary carcinoma sarcoma thymoma tracheal collapse vascular ring anomaly

Copyright © 2026 · Metro Pro Theme On Genesis Framework · WordPress · Log in