• Home
  • About
  • Articles
  • Books
  • Contact

Veterinary Radiology

Teaching and learning about veterinary diagnostic imaging.

  • Modality
    • Radiographs
    • Ultrasound
    • CT/MRI
  • Region
    • Thorax
    • Abdomen
    • Musculoskeletal
    • Neurologic
  • Species
    • Canine
    • Feline
    • Equine
    • Exotic

11 year old Pit Bull Terrier with pelvic limb lameness

September 6, 2018 By Allison Zwingenberger

This week’s case is an 11-year-old Pit Bull Terrier. This dog is lame on the left pelvic limb. What are your findings?

L LAT Hind
R LAT Thorax
L LAT Thorax
DV Thorax
Show findings...

Findings

Left pelvic limb: There is a large, soft-tissue opacity mass in the left pelvic limb, caudal to the femur and tibia. The borders of the mass are irregularly margined. There is mottled soft tissue and fat opacity in the subcutaneous tissues of the distal pelvic limb, and the soft tissues are thickened. There is effusion in the left stifle joint with surrounding osteophyte formation. The tissues surrounding the prepuce are also thickened. No aggressive lesions are present in the femur or tibia.

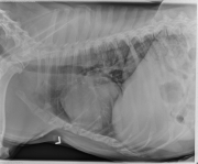
Thorax: The cardiovascular structures are normal in size and shape. The thorax is hypoinflated. No pulmonary nodules are visible. There is a small convex opacity dorsal to the second sternebra. The mediastinum and pleural space are normal. There is mild osteophyte formation in the shoulder joints.

Show differential diagnosis…

Differential Diagnosis

  • Soft tissue sarcoma, less likely abscess or hematoma.
  • Secondary soft tissue edema.
  • No evidence of pulmonary metastatic disease.
  • Possible sternal lymphadenopathy – evaluate for abdominal disease.

Show diagnosis…

Diagnosis

  • Soft tissue sarcoma was diagnosed on cytology.
  • A splenic metastatic lesion was also identified.

Filed Under: Canine, Case of the Day, Musculoskeletal, Radiographs, Thorax

  • Bloglovin
  • Facebook
  • RSS
  • Twitter
AtlasCover787x1024 amazon-availablenow

Veterinary Radiology News

Sign up for alerts about new cases and newsletters.

We will respect your privacy.

Archives

Tags

abscess adenocarcinoma bronchiectasis carcinoma cardiomyopathy coccidioidomycosis discospondylitis elbow dysplasia eosinophilic bronchopneumopathy erosive polyarthritis feline infectious peritonitis FIP foreign body fracture gastric dilation gastric foreign body gastrointestinal GDV heart failure hemangiosarcoma hiatal hernia histiocytic sarcoma hypertrophic cardiomyopathy intestinal foreign body linear foreign body lymphoma megaesophagus osteochondrosis osteomyelitis osteosarcoma patent ductus arteriosus PDA pericardial effusion pneumonia pneumothorax polyarthritis PPDH pulmonary pulmonary abscess pulmonary adenocarcinoma pulmonary carcinoma sarcoma thymoma tracheal collapse vascular ring anomaly

Copyright © 2026 · Metro Pro Theme On Genesis Framework · WordPress · Log in