• Home
  • About
  • Articles
  • Books
  • Contact

Veterinary Radiology

Teaching and learning about veterinary diagnostic imaging.

  • Modality
    • Radiographs
    • Ultrasound
    • CT/MRI
  • Region
    • Thorax
    • Abdomen
    • Musculoskeletal
    • Neurologic
  • Species
    • Canine
    • Feline
    • Equine
    • Exotic

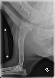
12 year old Labrador Retriever

June 14, 2018 By Allison Zwingenberger

Today’s case is a 12-year-old female neutered Labrador Retriever with acute onset of lameness after chasing a ball. What is your diagnosis?

cod180614-01
cod180614-02
cod180614-03
cod180614-04
cod180614-05
Show findings...

Findings

Right humerus: There is permeative lysis of the cranial and proximal diaphysis and metaphysis of the humerus. There is mild soft tissue swelling cranial to this region. Smooth periosteal reaction is visible on the caudal, medial, and lateral aspects of the humerus.

Thorax: The cardiac silhouette is normal in size and shape. There is a soft tissue nodule superimposed on the cardiac silhouette on the left lateral projection, located in the right middle lung lobe at the 5th intercostal space on the dorsoventral projection. There is a moderate bronchointerstitial pattern throughout the lungs. The mediastinum and pleural space are normal.

Show differential diagnosis…

Differential Diagnosis

  • Aggressive bone lesion in the right humerus, most likely a primary bone tumor
  • Single pulmonary nodule, most likely metastatic disease.

Show diagnosis…

Diagnosis

Ultrasound fine needle aspirate of the humerus was performed. The cytological diagnosis was sarcoma, most likely osteosarcoma; however, hemangiosarcoma or histiocytic sarcoma could not be ruled out.

Filed Under: Canine, Case of the Day, Musculoskeletal, Radiographs

  • Bloglovin
  • Facebook
  • RSS
  • Twitter
AtlasCover787x1024 amazon-availablenow

Veterinary Radiology News

Sign up for alerts about new cases and newsletters.

We will respect your privacy.

Archives

Recent Comments

Tags

abscess adenocarcinoma bronchiectasis carcinoma cardiomyopathy coccidioidomycosis discospondylitis elbow dysplasia eosinophilic bronchopneumopathy erosive polyarthritis feline infectious peritonitis FIP foreign body fracture gastric dilation gastric foreign body gastrointestinal GDV heart failure hemangiosarcoma hiatal hernia histiocytic sarcoma hypertrophic cardiomyopathy intestinal foreign body linear foreign body lymphoma megaesophagus osteochondrosis osteomyelitis osteosarcoma patent ductus arteriosus PDA pericardial effusion pneumonia pneumothorax polyarthritis PPDH pulmonary pulmonary abscess pulmonary adenocarcinoma pulmonary carcinoma sarcoma thymoma tracheal collapse vascular ring anomaly

Copyright © 2026 · Metro Pro Theme On Genesis Framework · WordPress · Log in