• Home
  • About
  • Articles
  • Books
  • Contact

Veterinary Radiology

Teaching and learning about veterinary diagnostic imaging.

  • Modality
    • Radiographs
    • Ultrasound
    • CT/MRI
  • Region
    • Thorax
    • Abdomen
    • Musculoskeletal
    • Neurologic
  • Species
    • Canine
    • Feline
    • Equine
    • Exotic

7 year old Labrador

January 11, 2018 By Allison Zwingenberger

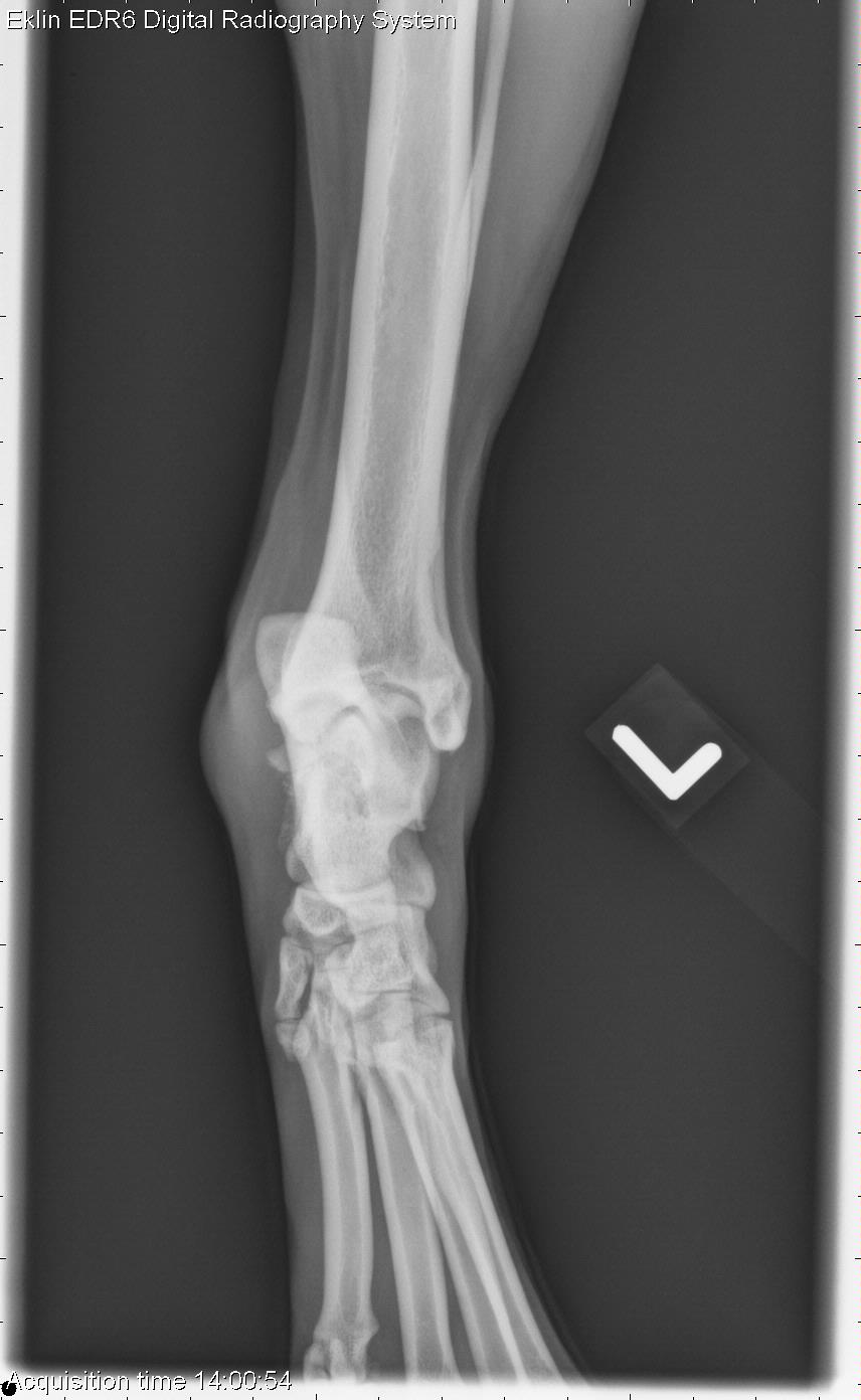
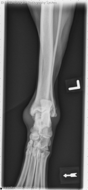
Today’s case is a 7-year-old male neutered Labrador retriever. Owner noticed a lump on his left hock about 5 days ago. What are your findings?

cod180111-01
cod180111-02
cod180111-03
cod180111-04
cod180111-05
cod180111-06
Show findings...

Findings

There is a thin, radiolucent fracture line present in an oblique orientation on the proximal talus. This is best seen on the caudocranial projection. There is new bone proliferation on the medial and lateral aspects of the talus near the fracture margin. There is increased soft tissue opacity at the level of the tarsocrural joint indicating effusion. On stressed projections, the medial tibiotarsal joint is slightly widened. The arrows indicate the direction of stress applied to the joint.

Note – was not a true fracture.

Show diagnosis…

Diagnosis

Chronic, non displaced fracture of the left talus with marked tarsocrural effusion and osteoarthrosis. Mild joint instability may indicate disruption of the medial collateral ligaments.

Filed Under: Canine, Case of the Day, Musculoskeletal, Radiographs

  • Bloglovin
  • Facebook
  • RSS
  • Twitter
AtlasCover787x1024 amazon-availablenow

Veterinary Radiology News

Sign up for alerts about new cases and newsletters.

We will respect your privacy.

Archives

Tags

abscess adenocarcinoma bronchiectasis carcinoma cardiomyopathy coccidioidomycosis discospondylitis elbow dysplasia eosinophilic bronchopneumopathy erosive polyarthritis feline infectious peritonitis FIP foreign body fracture gastric dilation gastric foreign body gastrointestinal GDV heart failure hemangiosarcoma hiatal hernia histiocytic sarcoma hypertrophic cardiomyopathy intestinal foreign body linear foreign body lymphoma megaesophagus osteochondrosis osteomyelitis osteosarcoma patent ductus arteriosus PDA pericardial effusion pneumonia pneumothorax polyarthritis PPDH pulmonary pulmonary abscess pulmonary adenocarcinoma pulmonary carcinoma sarcoma thymoma tracheal collapse vascular ring anomaly

Copyright © 2026 · Metro Pro Theme On Genesis Framework · WordPress · Log in