• Home
  • About
  • Articles
  • Books
  • Contact

Veterinary Radiology

Teaching and learning about veterinary diagnostic imaging.

  • Modality
    • Radiographs
    • Ultrasound
    • CT/MRI
  • Region
    • Thorax
    • Abdomen
    • Musculoskeletal
    • Neurologic
  • Species
    • Canine
    • Feline
    • Equine
    • Exotic

1.5 year old cat

October 20, 2016 By Allison Zwingenberger

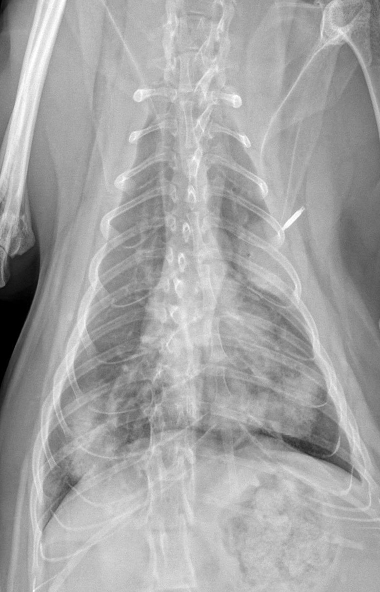
For today’s case, we have a 1.5-year-old female neutered cat with history of vomiting and coughing, with increased respiratory sounds. What are possible causes of the pulmonary pattern?

R LAT Thorax
VD Thorax
VD Thorax-2 month followup
R LAT Thorax-2 month followup

Show findings...

Findings

There are multiple areas of ill-defined interstitial to alveolar pattern throughout the lungs. This region in the left cranial lung lobe is causing a lobar sign. The lungs overall have an interstitial appearance. The cardiovascular structures are normal, and there is no evidence of pleural effusion.

Show differential diagnosis…

Differential Diagnosis

The most likely cause of the pulmonary disease is an infectious inflammatory process such as fungal pneumonia. Noninfectious inflammatory disease may also be considered.

Show diagnosis…

Diagnosis

Fine needle aspirates of the lungs and serology revealed a fungal infection (Cryptococcus). After two months of antifungal treatment, radiographs showed a marked improvement of the pulmonary pattern.

Filed Under: Case of the Day, Feline, Radiographs, Thorax

  • Bloglovin
  • Facebook
  • RSS
  • Twitter
AtlasCover787x1024 amazon-availablenow

Veterinary Radiology News

Sign up for alerts about new cases and newsletters.

We will respect your privacy.

Archives

Tags

abscess adenocarcinoma bronchiectasis carcinoma cardiomyopathy coccidioidomycosis discospondylitis elbow dysplasia eosinophilic bronchopneumopathy erosive polyarthritis feline infectious peritonitis FIP foreign body fracture gastric dilation gastric foreign body gastrointestinal GDV heart failure hemangiosarcoma hiatal hernia histiocytic sarcoma hypertrophic cardiomyopathy intestinal foreign body linear foreign body lymphoma megaesophagus osteochondrosis osteomyelitis osteosarcoma patent ductus arteriosus PDA pericardial effusion pneumonia pneumothorax polyarthritis PPDH pulmonary pulmonary abscess pulmonary adenocarcinoma pulmonary carcinoma sarcoma thymoma tracheal collapse vascular ring anomaly

Copyright © 2026 · Metro Pro Theme On Genesis Framework · WordPress · Log in