• Home
  • About
  • Articles
  • Books
  • Contact

Veterinary Radiology

Teaching and learning about veterinary diagnostic imaging.

  • Modality
    • Radiographs
    • Ultrasound
    • CT/MRI
  • Region
    • Thorax
    • Abdomen
    • Musculoskeletal
    • Neurologic
  • Species
    • Canine
    • Feline
    • Equine
    • Exotic

8 month old Beagle

March 7, 2016 By Allison Zwingenberger

Today’s case is an 8 month old female Beagle with 5/6 continuous heart murmur. What are your findings?

R LAT Thorax
L LAT Thorax
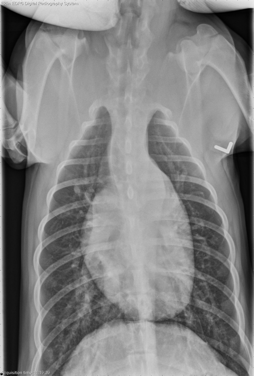
DV Thorax

Show findings...

Findings

On lateral radiographs, the left side of the heart is enlarged. The left atrium is visible as a triangular soft tissue opacity on the lateral view, and as a double density sign on the d/v.

On the d/v, the aorta has a prominent bulge at one o’clock, and the pulmonary artery is enlarged at two o’clock. The left auricle is also causing a slight bulge in the cardiac silhouette at the three o’clock position.

There is a prominent vascular pulmonary pattern with enlarged pulmonary arteries and veins throughout the lungs.

Show diagnosis…

Diagnosis

Left-to-right patent ductus arteriosus (PDA)

Show discussion…

Discussion

Echocardiogram showed the presence of a PDA with a dilated left ventricle and atrium and mild mitral regurgitation. The PDA allows high pressure blood to flow into the pulmonary artery, causing overcirculation of the lungs and volume overload of the heart. The bulges at the 1, 2, and 3 o’clock positions are characteristic of PDA.

Filed Under: Canine, Case of the Day, Radiographs, Thorax

  • Bloglovin
  • Facebook
  • RSS
  • Twitter
AtlasCover787x1024 amazon-availablenow

Veterinary Radiology News

Sign up for alerts about new cases and newsletters.

We will respect your privacy.

Archives

Tags

abscess adenocarcinoma bronchiectasis carcinoma cardiomyopathy coccidioidomycosis discospondylitis elbow dysplasia eosinophilic bronchopneumopathy erosive polyarthritis feline infectious peritonitis FIP foreign body fracture gastric dilation gastric foreign body gastrointestinal GDV heart failure hemangiosarcoma hiatal hernia histiocytic sarcoma hypertrophic cardiomyopathy intestinal foreign body linear foreign body lymphoma megaesophagus osteochondrosis osteomyelitis osteosarcoma patent ductus arteriosus PDA pericardial effusion pneumonia pneumothorax polyarthritis PPDH pulmonary pulmonary abscess pulmonary adenocarcinoma pulmonary carcinoma sarcoma thymoma tracheal collapse vascular ring anomaly

Copyright © 2026 · Metro Pro Theme On Genesis Framework · WordPress · Log in